Psychology

Article teaser image

Gruseome Details Versus Evidence - The Brain Science Of Punishment Decisions

Issues of crime and punishment and vengeance and justice date back to time when people first gathered and in the last few years why people decide just punishment has captured the attention of psychologists and certainly defende attorneys.  A brain imaging study in Nature Neuroscience says it can identify the brain mechanisms that underlie our judgment of how severely a person who has harmed another should be punished. Specifically, the study looked at how the area of the brain changes when an act was believed to be intentional or unintentional. They found that the imaging is different…
Article teaser image

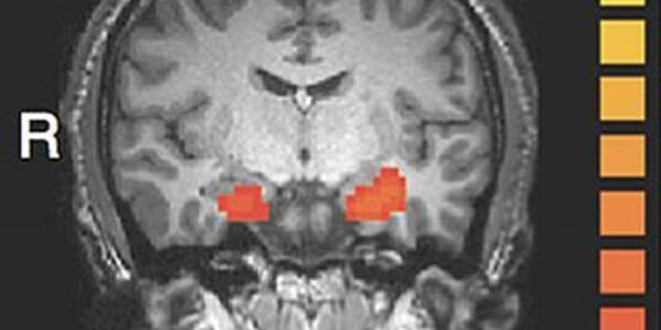
Anxiety Linked To Seizures Mistaken For Epilepsy

New research has revealed psychogenic seizures which could be mistaken for epilepsy are linked to feelings of anxiety. The team of researchers devised a set of tests to determine whether there was a link between how people interpret and respond to anxiety, and incidences of psychogenic nonepileptic seizures (PNESs) – seizures that can be brought on by threatening situations, sensations, emotions, thoughts, or memories. The scholars used a series of questionnaires and computer tests to determine if a patient regularly avoids situations which might bring on anxiety. The tests correctly…
Article teaser image

Dear Orlando Bloom: How To Freak Out Less

Orlando Bloom is feeling stressed. Justin Bieber insulted him in Ibiza (why are they in the same club, much less the same city or even country?) or he insulted Bloom's ex-wife, the model Miranda Kerr, and he lashed out at Justin Bieber. Or tried, the wall of bodyguards that makes Justin Bieber brave made that difficult. Still, that has the Belieber hordes out in full force mocking Bloom. And that third Hobbit movie is still a long way off. Bloom also may not be coping with the stress of divorce very well, even though he is being spotted with the ex-wife of his ex-wife's new billionaire…
Article teaser image

Many Depressed Preschoolers Still...Wait, What?

Toddlers who did not frolic and smile and laugh were once called pensive or shy or quiet but now a Preschool Feelings Checklist can label kids as depressed at 3 years of age.  Using that as a factual basis, a paper in the American Journal of Psychiatry has found that depressed preschoolers were 2.5 times more likely to suffer from the condition in elementary and middle school than kids who were not diagnosed as depressed at very young ages. Doctors and scientists maintain that children as young as 3 or 4 can not be clinically depressed.  Using a two-way mirror, Washington…
Article teaser image

We Can Predict Audience Reaction To TV Programming

Marketing experts have long wanted a reliable method of forecasting responses to products and messages. A study that analyzed the brain responses of 16 individuals says even a few people can be a remarkably strong predictor of the preferences of large TV audiences, up to 90 percent in the case of Super Bowl commercials. This is far superior to the wobbly claims made by psychology surveys.  Neural reliability predicts scene-by-scene tweet frequency. a) Log frequency of tweets related to each scene (N=190) of a popular television broadcast. (b) Log tweet frequency as predicted from the…
Article teaser image

For People At Risk Of Suicide, The Internet Is A Blessing And A Curse

There are websites that encourage anorexia, there are websites that glorify stepping on animals with high heels and killing them, so it is no surprise that there are websites that glorify suicide. There are also websites that can talk people down from the ledge. In a free Internet, they can both be found rather easily. An upcoming paper looked for information on suicides using popular search engines (Google, Bing) in Austria and the USA and found that protective information is significantly more plentiful than harmful information, about 2:1.  "However the type of website and quality of…
Article teaser image

Shopping Psychology: Do You Prefer Sales Or Every Day Low Prices?

Marketing is something of a game; retailers want you to spend the most money, but not none at all, and cash flow is important, so sometimes they have sales, even at a loss to get you in the door in the belief that you will spend more money. But is that the optimal strategy for a retailer? A new paper in the Journal of Consumer Research says consumers instead choose retailers they believe offer the lowest prices the majority of the time.   To simulate 100 weekly purchases from a retail store, participants were asked to purchase products from one of two competing retailers 100 different…
Article teaser image

Why Do Women Prefer Bad Boys And Men Prefer Nice Women?

Why do women prefer bad boys? Why do men prefer nice women? Why do social psychologists love to conduct surveys about sweeping stereotypes and call it science? These are complex questions without simple answers. Responsiveness may be one of those initial "sparks" necessary to fuel sexual desire and land a second date - the same thing in many flavors of psychology - but it may not be a desirable trait for both men and women on a first date, according to a new paper in Personality and Social Psychology Bulletin which wants to discuss if responsiveness increases sexual desire in the other person…
Article teaser image

Obese Preschoolers Lose Weight When Parents Do

It's no surprise when obese preschoolers have obese parents. It's actually expected. So it's not a surprise when obesity treatment is more effective when it targets both parent and child compared to when only the child is targeted. Children enrolled in this study were overweight or obese and had one parent who participated in the study who also was overweight or obese, according to body mass index (BMI) measurements, calculated based on height and weight. During the course of the study, children who were treated concurrently with a parent experienced more appropriate weight gain while…
Article teaser image

With Asthma, Thinking They Might Smell Something Harmful Causes Inflammation

A new paper finds that asthmatics who believe that an odor is potentially have increased airway inflammation for at least 24 hours following exposure, which highlights the role that expectations and psychology can play in health-related outcomes. Asthma is a chronic inflammatory disorder of the lungs. According to the National Institutes of Health, over 25 million Americans have the disease, which can interfere with quality of life. The airways of asthmatics are sensitive to 'triggers' that further inflame and constrict the airways, making it difficult to breathe. There are many different…