Neuroscience

Article teaser image

Magnetosensory Perception? Why Powerlines Confuse Animal Migration

Over the last half century, it has been established that fish and migratory birds use the planet's magnetic field to help find their way, an interesting zoological mystery. Researchers have now identified cells with internal compass needles for the perception of the field, and that can explain why high-tension cables perturb their magnetic orientation.  Although many animal species can sense the geomagnetic field and exploit it for spatial orientation, efforts to pinpoint the cells that detect the field and convert the information into nerve impulses had not been successful. “The field…
Article teaser image

Social Intervention And Prx6 Protein Helps Bees Reverse Brain Aging

Older honey bees halt and even reverse the effects of brain aging when they are given roles typically handled by younger bees. This has led researchers to suggest that that social interventions may be as valuable as drugs for dealing with age-related dementia in humans. How does it work?  Tricking older, foraging bees into doing social tasks inside the nest led to changes in the molecular structure of their brains. During experiments, scientists removed all of the younger nurse bees from the nest, leaving only the queen and babies. When the older, foraging bees returned to the nest…
Article teaser image

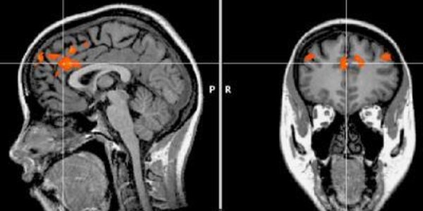
This Is What Your Brain Looks Like When You Lose Control

Self-control is a finite commodity.  Neuroscientists recently took a look at what happens when a person runs out of patience and loses self-control. This self-control, they say, is limited and once the supply has dwindled, we're less likely to keep our cool when a situation that requires self-control comes around. We have all seen people who lose it over 'nothing' and recognize it may be pent-up frustration. A study by University of Iowa neuroscientist William Hedgcockis the first to actually show that happening in the brain using fMRI images that scan people as they perform self-…
Article teaser image

Don't Hate - Voters Were Born That Way, Say Psychiatrists

We tend to associate with people we like and that like us because they are like us - so it's no surprise I hang out with wickedly smart, outrageously attractive people. Long-term relationships, even non-sexual ones with women as ridiculously awesome as me, are part of what separates us from food...I mean, other animals.  Well, sort of. Maybe birds do that too. That old proverb, "Birds of a feather flock together", even has a science-y term attached to it;  homophily, coined in the 1950s by sociologists who felt a need to jargon up old-timey proverbs, it means, basically, 'love of…
Article teaser image

Laugh While You Can, Monkey Brains

The anterior insular cortex is a small region of the brain, but it plays a big role in human self-awareness and in neuropsychiatric disorders. A unique cell type, the von Economo neuron (VEN), is located there.  For a long time, the VEN was assumed to be unique to humans, great apes, whales and elephants. But scientists have recently discovered these brain cells in monkeys. Bring on the self-awareness and empathy?  Not just yet. Henry Evrard, neuroanatomist at the Max Planck Institute for Biological Cybernetics in Tübingen, Germany, found that the VEN occurs also in the insula…
Article teaser image

What Robots Can Tell Us About Brain Cells

Understanding neurons - their shape, patterns of electrical activity even a profile of which genes are turned on at a given moment - remains as much art as science due to the complexity of research.But that could soon change: Researchers at MIT and the Georgia Institute of Technology have developed a way to automate the process of finding and recording information from neurons in the living brain. The researchers have shown that a robotic arm guided by a cell-detecting computer algorithm can identify and record from neurons in the living mouse brain with better accuracy and speed than a human…
Article teaser image

Psychic Healers May Simply Have Synesthesia

People who claim to see the 'aura' of others - and subsequently claim they can modify them - may actually have synesthesia, according to new research. Synesthesia is believed to occur due to cross-wiring in the brain; synesthetes have more synaptic connections than 'normal' people and some are interconnected in ways others are not, including across brain regions. Since the brain regions responsible for the processing of each type of sensory stimuli are intensely interconnected, synesthetes see or taste a sound, feel a taste, or associate people with a particular color. A new paper in…
Article teaser image

Caffeine May Prevent Memory Loss In Diabetes

Badly controlled diabetes are known to affect the brain, causing memory and learning problems and even increased incidence of dementia. How this occurs is not clear but a study in mice with type 2 diabetes has discovered how diabetes affects the hippocampus, causing memory loss, and also how caffeine can prevent this.  Curiously, the neurodegeneration that Rodrigo Cunha,  from the Centre for Neuroscience and Cell Biology of the University of Coimbra in Portugal, sees as result of  diabetes is the same that occurs at the first stages of several neurodegenerative diseases,…
Article teaser image

Embryo Brains Can Wake Earlier Than Previously Thought

A new imaging study shows the brains of embryonic chicks can 'wake' long before chicks are ready to hatch out of their eggs - but it took loud, meaningful sounds. Playing meaningless sounds wasn't enough to rouse their brains. As modern medicine continues to push back the gestational age at which prematurely born infants can reliably survive, pediatricians have worried about the effects of stimulating brains that are still 'under construction'. It turns out that,like adult brains, embryo brains also have neural circuitry that monitors the environment to selectively wake the brain up during…
Article teaser image

New Stem Cell Found In The Brain - And It Can Form New Brain Cells

A new stem cell has been found that can proliferate and form several different cell types, including new brain cells.  This discovery may be used to develop methods that can repair diseases and injury to the brain. Analyzing brain tissue from biopsies, the researchers for the first time found stem cells locatedaround small blood vessels in the brain. The cell’s specific function is still unclear, but its plastic properties suggest great potential. A similar cell type has been identified in several other organs where it can promote regeneration of muscle, bone, cartilage and adipose…