Genetics & Molecular Biology

Article teaser image

Chemical Signals: Sexual Attraction, Pheromones And Being Ready At The Right Time

The exchange of chemical signals between organisms is considered the oldest form of communication. Acting as messenger molecules, pheromones regulate social interactions between conspecifics, for example, the sexual attraction between males and females. Fish rely on pheromones to trigger social responses and to coordinate reproductive behavior in males and females. Scientists have now identified such a signal molecule in the urine of male Mozambique tilapia (Oreochromis mossambicus): this pheromone boosts hormone production and accelerates oocyte maturation in reproductive females. Hence,…
Article teaser image

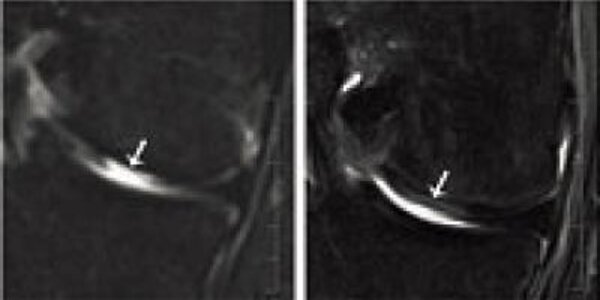
Nasal Septum Cells: From Nose To Knee, Engineered Cartilage Regenerates Joints

Human articular cartilage defects can be treated with nasal septum cells because they are able to adapt to the environment of the knee joint and can thus repair articular cartilage defects.  The nasal cartilage cells' ability to self-renew and adapt to the joint environment is associated with the expression of so-called HOX genes. The scientific journal Science Translational Medicine has published the research results together with the report of the first treated patients. Cartilage lesions in joints often appear in older people as a result of degenerative processes. However, they also…
Article teaser image

Type 1 And 2 Diabetes Caused By Same Amylin Hormone Mechanism

A new study has found that both type-1 diabetes and type-2 diabetes are the result of the same mechanism - the formation of toxic clumps of a hormone called amylin. The results, based on 20 years' work in New Zealand, suggest that type-1 and type-2 diabetes could both be slowed down and potentially reversed by medicines that stop amylin forming these toxic clumps. As well as producing insulin, cells in the pancreas also produce another hormone called amylin. Insulin and amylin normally work together to regulate the body's response to food intake. If they are no longer produced, then levels…
Article teaser image

Vitamin D Plus Interleukin-32 Protein Helps Kill Active TB

A study has identified a protein that appears to play a key role in protecting people infected with Mycobacterium tuberculosis — the bacterium that causes tuberculosis — from developing the active form of the disease. The protein, interleukin-32, was discovered to be one biomarker of adequate host defense against TB. An estimated one-third of the world's population is infected with tuberculosis, but the disease is latent in 90 to 95 percent of infected people, meaning that they experience no symptoms and are not contagious. Interleukin-32 contributes to maintaining that latent state and…
Article teaser image

The Genomic Love Triangle Of Canola

The recently published genome of Brassica napus — commonly known as canola — paves the way for improved versions of the plant, which is used widely in farming and industry.  Canola is native to Europe, but is all across the western world by now. The winter crop is even cultivated in Georgia. It produce feed for farm animals and is the source for biodiesel,  it is used for cooking and it has one of the most complex genomes among flowering plants, forming thousands of years ago during the Neolithic Era when two plant species — Brassica rapa and Brassica oleracea — combined in the wild…
Article teaser image

A Genetic Recipe For Limb Regeneration

A team of researchers  is a step closer to solving the mystery of how lizards regenerate their tails. They have found the genetic "recipe", which involves genetic ingredients in just the right mixture and amounts. The scientists used molecular and computer analysis tools to examine the genes turned on in tail regeneration. The team studied the regenerating tail of the green anole lizard (Anolis carolinensis), which when caught by a predator, can lose its tail and then grow it back.  "Lizards basically share the same toolbox of genes as humans," said senior author Kenro Kusumi,…
Article teaser image

Enzyme Brake Pads Block Plant Hormone

Researchers trying to get new information about the metabolism of plants can switch off individual genes and study the resulting changes but researchers in a new study adopted a different approach.  Erich Kombrink from the Max Planck Institute for Plant Breeding Research in Cologne and Markus Kaiser from the University of Duisburg-Essen have identified small molecules that block specific components of the metabolic process like brake pads and prevent the downstream reactions. In their search for these molecules, they used a biological selection process involving intact plants, a…
Article teaser image

Beyond X And Y Chromosomes: A New Genetic Basis For Sex Determination

Men and women differ in plenty of ways,and scientists have long known that genetic differences buried deep within our DNA underlie these distinctions but past research has primarily focused on understanding how the genes that encode proteins act as sex determinants. In a new Genetics paper, scientists show that a subset of very small genes encoding short RNA molecules - miRNAs - also play a key role in differentiating male and female tissues in the fruit fly.  A miRNA is a short segment of RNA that fine-tunes the activation of one or several protein-coding genes. miRNAs are able to…
Article teaser image

Parenting Before Conception: You Aren't Locked Into An Epigenetic Destiny

There's evidence that a child's future health is influenced by more than just their parents' genetic material and can be impacted by environmental factors, but what is being done with that is something of a concern. As we have seen in the rash of spurious correlations linking epigenetics of everything from the diet of grandparents to their political parties to future behavior in kids, some people are using the mysteries of biology to promote their cultural agendas. Epigenetic claims are being used to set feminism back decades, since virtually any behavior can find an epigenetic study in a…
Article teaser image

Inpp4b: Nerve Conduction Velocity Linked To Multiple Sclerosis

A new study identifies a novel gene, Inpp4b, that controls nerve conduction velocity. Investigators report that even minor reductions in conduction velocity may aggravate disease in multiple sclerosis (MS) patients and in mice bred for the MS-like condition experimental autoimmune encephalomyelitis (EAE). A strong tool for investigating the pathophysiology of a complex disease is the identification of underlying genetic controls. Multiple genes have been implicated as contributing to the risk of developing MS. Unlike studies that have focused on genetic regulators of inflammation,…