Genetics & Molecular Biology

Article teaser image

Lab Grown 3-D Intestine Regenerates Gut Lining In Dogs

Working with gut stem cells from humans and mice, scientists from have successfully grown healthy intestine atop a 3-D scaffold made of a substance used in surgical sutures.  In a further step that takes their work well beyond proof of concept, researchers report their laboratory-created intestine successfully regenerated gut tissue in the colons of dogs with missing gut lining. The experiments, described ahead of print in the journal Regenerative Medicine, bring researchers closer to creating an implantable intestine as replacement therapy for a range of devastating disorders --…
Article teaser image

New Diversity For Lager Beers

Unlike ales, lager beers differ little in flavor. But now, by creating new crosses among the relevant yeasts, Kevin Verstrepen, PhD, Stijn Mertens, and their collaborators have opened up new horizons of taste.  The relative uniformity of flavor among lagers turned out to result in significant part from a lack of genetic diversity among the yeasts. Genetic studies showed that lager yeasts had resulted from just two crosses between the parent yeasts, Saccharomyces cerevisiae, and S. eubayanus. The problem was that the two yeast species are so different--like lions and tigers--as to make…
Article teaser image

Pinpointing Gene That Regulates Repair And Regeneration In Adult Lungs

The sonic hedgehog gene, best known for controlling embryonic development, also maintains the normal physiological state and repair process of an adult healthy lung, if damaged, according to new research.  Tissues are not all created equal in their ability to regenerate. Skin and blood cells are continually turning over, making entirely new populations of cells every few days. At the other end of the spectrum, heart and brain cells regenerate slowly, if at all, after injury. Between these two extremes are tissues such as the lung and liver, which have little cellular turnover in normal…
Article teaser image

Inflammatory Response May Fan The Flame Of Dietary Fats' Role In Obesity-related Diseases

An enhanced inflammatory response could be the key link between high saturated fat intake - a recognized risk factor for obesity-related disorders - and the development of diseases like type 2 diabetes and atherosclerosis. A new study in the Journal of Nutritional Biochemistry demonstrates that ingesting fats similar to those in a Mediterranean-type diet, featuring low saturated fat and high monounsaturated fat, appears to decrease the inflammatory response, both in comparison to a high saturated fat diet, as well as in relation to a low-fat diet. "It has been recognized that obesity - a…
Article teaser image

The Solution To A 50-year-old Riddle: Why Certain Cells Repel One Another

When cells from the connective tissue collide, they repel one another - this phenomenon was discovered more than 50 years ago. It is only now, however, that researchers at the University of Basel have discovered the molecular basis for this process, as they report in the journal Developmental Cell. Their findings could have important implications for cancer research. Fibroblasts are motile constituents of the connective tissue and also regulate its stiffness. Moreover, fibroblasts play an important role in malignant skin diseases such as melanoma. In research, they serve as a model system for…
Article teaser image

VB-111 Gene Therapy Doubles Survival In Recurrent Glioblastoma

Glioblastoma is an aggressive brain cancer that kills two-thirds of patients within five years. A patient's outlook with recurrence of the disease is considered to be weeks or months. An experimental gene therapy essentially doubled the overall survival of patients with recurrent glioblastoma compared to the current standard of care, a researcher said October 1st at the Cancer Therapy&Research Center (CTRC) at The University of Texas Health Science Center at San Antonio.  Oncologist Andrew J. Brenner, M.D., Ph.D., associate professor in medicine, neurology and neurosurgery at the UT…
Article teaser image

We Went Black And Never Went Back: The Origin And Spread Of 'Emperor's Rice'

Black rice has a rich cultural history; called "Forbidden" or "Emperor's" rice, it was reserved for the Emperor in ancient China and used as a tribute food. In the time since, it remained popular in certain regions of China and recently has become prized worldwide for its high levels of antioxidants. Despite its long history, the origins of black rice have not been clear. Black rice cultivars are found in locations scattered throughout Asia. However, most cultivated rice (species Oryza sativa) produces white grains, and the wild relative Oryza rufipogon has red grains. The color of rice…
Article teaser image

Any Way You Gene Silence It, Simplot Is A Better Potato - But Will People Buy It?

Lovers of french fries, rejoice: the new, non-bruising potato made by Idaho food giant Simplot has hit the market. Simplot, based in Boise, now carries a line of genetically modified potatoes (Russet Burbank, Atlantic, and Ranger Russet) that are specifically bred to produce less bruising. We know appearance counts so making them cosmetically better means Americans will waste less. Hopefully. The spuds have joined a growing list of GM crops designed to appeal to consumers who want health and appearance benefits; foods like the non-browning GM Arctic apple, and modified vegetable oils with…
Article teaser image

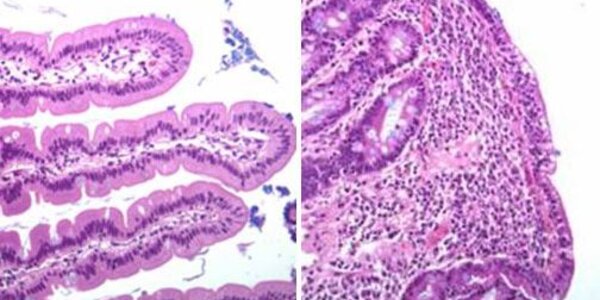
Celiac Disease Diagnosis Gets Simplified

Though gluten sensitivity can be claimed by anyone embracing a popular food fad, celiac disease must be diagnosed, and that requires a tissue sample from the small intestine, which can be extremely unpleasant.  But it's important because in celiac disease the immune system regards gluten as a virus or bacteria, which causes the body to trigger an unnecessary inflammatory reaction in the small intestine - an autoimmune reaction. When the food that you eat enters the small intestine, it is reduced to tiny fractions and presented to the T cells on HLA molecules. The HLA molecules present…
Article teaser image

Setting A New Standard For Science Transparency

Things have been a little intense lately and the little voice in my head keeps begging, "How did I get here?"   In other times of quiet introspection the little voice in my head says, "What would you have done differently?" What the heck happened?  Over the last six weeks I've been caught in the hot whirlwind of what has ballooned into a national discussion.  In brief, I'm a scientist committed to the public understanding of science, particularly the practice called, "genetic engineering", or more commonly "GMOs".  For over fifteen years I've described the strengths and…