Cancer Research

Article teaser image
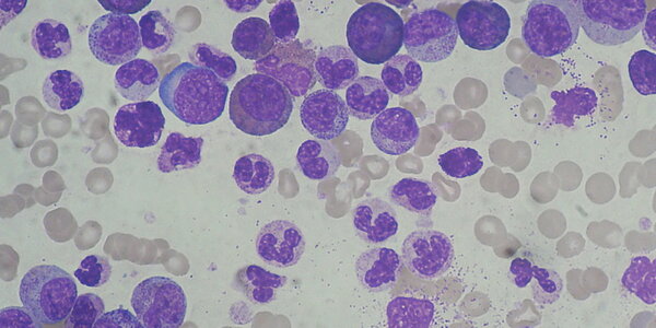
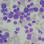
Doctors can now understand better chronic myeloid leukaemia (CML), including how it responds to therapy, thanks to a new mathematical model for the disease developed by scientists in Portugal, Belgium and the United States. The work, to be published in the June edition of the journal Haematologica, also reveals that current therapies – which are not believed to cure CML – with the right protocol can actually get rid of the disease, and provides guidelines on how to do that. CML although rare, because of effective life-extending therapies, is now one of the most common leukaemias in the world…
Article teaser image
A recent study of marine mammals by University of Florida aquatic animal health experts has revealed that dolphins may be the ideal model for studying cervical cancer in humans. "We discovered that dolphins get multiple infections of apillomaviruses, which are known to be linked with cervical cancer in women," said Hendrik Nollens, a marine mammal biologist and clinical assistant professor at UF's College of Veterinary Medicine today (Feb. 18) at the annual meeting of the American Academy for the Advancement of Science. "Dolphins are the only species besides humans that we know of that can…
Article teaser image
Rhubarb May, Or May Not, Fight Cancer Current news reports about cancer-fighting chemicals in rhubarb may lead some people to think that eating a lot of rhubarb is a good idea.  Bad move!  Rhubarb is widely renowned as a laxative! Researchers have found that the traditional favourite, like many red vegetables, contains cancer killing chemicals. http://www.telegraph.co.uk Eating baked rhubarb could help fight cancer, research suggests.http://www.dailymail.co.uk Not only do the Telegraph and the Daily Mail get the story wrong, but the idea that rhubarb contains substances that may…
Article teaser image
A team of scientists from Princeton University and The Cancer Institute of New Jersey are attempting to unravel the secret lives of cancer cells that go dormant and self-cannibalize to survive periods of stress, a process called autophagy. The work may help produce new cancer therapies to stem changes that render cancer cells dangerous and resistant to treatment. For more than 50 years, scientists have known that significant differences exist between the metabolic processes of normal and cancerous cells. These processes encompass the complex set of chemical reactions that control everything…
Article teaser image
Vesicular stomatitis virus, or VSV, has shown the potential to serve as an anti-cancer agent, exercising high selectivity in killing cancer cells while sparing healthy cells, and as a potent vaccine against HIV. But in order for the necessary genetic modifications to occur, scientists must have an accurate picture of the virus's structure. While three-dimensional structural information of VSV's characteristic bullet shape and its assembly process has been sought for decades, efforts have been hampered by technological and methodological limitations. Now, researchers have not only revealed…
Article teaser image
A new report in Cancer Epidemiology, Biomarkers and Prevention suggests that individuals who consume two or more sodas per week face an increased risk of developing pancreatic cancer by nearly twofold compared to individuals who do not consume soft drinks. Researchers followed 60,524 men and women in the Singapore Chinese Health Study for 14 years. During that time, there were 140 pancreatic cancer cases. Those who consumed two or more soft drinks per week (averaging five per week) had an 87 percent increased risk compared with individuals who did not. No association was seen between fruit…
Article teaser image
According to survey results on correlates of HPV vaccine use, a parent's existing health habits or behaviors, like cigarette smoking, may influence the likelihood that they will have their daughters vaccinated against HPV. Researchers who conducted the survey say the link may be explained by the fact that parents who are former or current smokers have a heightened awareness of cancer and its related risks. Results of the survey are published in the February issue of Cancer Epidemiology, Biomarkers and Prevention. National data on HPV vaccination rates indicate that only 37 percent of females…
Article teaser image
Writing in PLoS Genetics, UCLA Researchers say they have performed the first complete genomic sequencing of a brain cancer cell line, a discovery that may lead to personalized treatments based on the unique biological signature of an individual's cancer and a finding that may unveil new molecular targets for which more effective and less toxic drugs can be developed. The sequencing was done on a much studied glioblastoma cell line called U87, which is being used in more than a dozen UCLA cancer laboratories and studied in more than 1,000 laboratories worldwide. They picked the cell line…
Article teaser image
In all science, error precedes the truth, and it is better it should go first than last.  ~Hugh Walpole Everyone knows as a scientist your expected to be busy asking questions and challenging assumptions.However this is to some degree unfeasible,you cant distrust everything or it will take a very long time to get any work done!Thus some things just have to be taken at face value.However,some researchers got a shock recently when it was announced that three frequently used human esophageal adenocarcinoma cell lines used for cancer research were in fact anything but, according to a brief…
Article teaser image
It's not hard to find scare stories about cell phones and brain cancer. On the other hand, numerous randomized, double-blind studies have debunked extreme claims of negative health effects of EMF exposure. So what should you believe? Is the cell phone industry, like the tobacco industry in the past, covering up evidence for the harmful effects of cells phones?It's not hard to find scare stories about cell phones and brain cancer. On the other hand, numerous randomized, double-blind studies have debunked extreme claims of negative health effects of EMF exposure. So what should you believe? Is…

Donate

Please donate so science experts can write for the public.

At Science 2.0, scientists are the journalists, with no political bias or editorial control. We can't do it alone so please make a difference.

Donate with PayPal button 
We are a nonprofit science journalism group operating under Section 501(c)(3) of the Internal Revenue Code that's educated over 300 million people.

You can help with a tax-deductible donation today and 100 percent of your gift will go toward our programs, no salaries or offices.