Social Sciences

Article teaser image
People with bipolar disorder – or manic depression – suffer from an accelerated shrinking of their brain, researchers at the University of Edinburgh have found. The study shows for the first time that bipolar disorder – a condition characterised by periods of depression and periods of mania – is associated with a reduction in brain tissue and proves that the changes get progressively worse with each relapse. This discovery has implications not only for the way we research the disease, but may also impact the way this condition is treated. The findings show that the loss of grey matter…
Article teaser image
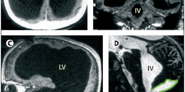
You don't need a big brain, or a high IQ, to have a comfortable life and a good family. Witness the case of this French civil servant, written about by Dr. Lionel Fuillet in The Lancet. At age six months he was treated for hydrocephalus (water on the brain) with a shunt in his head to drain away the fluid. At age 14 he complained of unsteadiness and left leg weakness, which cleared up after the shunt was adjusted. Beyond that his neurological development and medical history were normal. At age 44 the leg weakness returned and he was treated by Dr. Feuillet and colleagues of the Hôpital de…
Article teaser image
A team of scientists from the Institute of Human Genetics of the GSF Research Center, the Technical University of Munich and the Max Planck Institute for Psychiatry have now identified risk factors which are involved in the development of Restless Leg Syndrome. The patients suffer from an urge to move and paresthesia in the legs in the evening and during the night which can only be relieved by moving or walking around. The consequence may be severe sleeping disorders and chronic sleep loss. The frequency of RLS increases with age: up to ten per cent of over 65 year olds are affected, albeit…
Article teaser image
Our experiences –the things we see, hear, or do—can trigger long-term changes in the strength of the connections between nerve cells in our brain, and these persistent changes are how the brain encodes information as memory. Johns Hopkins researchers have discovered a new biochemical mechanism for memory storage, one that may have a connection with addictive behavior. Previously, the long-term changes in connection were thought to only involve a fast form of electrical signaling in the brain, electrical blips lasting about one-hundredth of a second. Now, neuroscience professor David Linden…
Article teaser image
Alcoholism has traditionally been considered a male disease because there are many more alcoholic males than females. But a new study by researchers at Oregon Health & Science University and the Portland Veterans Affairs Medical Center suggests that women are more prone to brain damage from alcohol abuse than men. The study led by Kristine Wiren, Ph.D., associate professor of behavioral neuroscience and medicine, OHSU School of Medicine, and research biologist, PVAMC Research Service, found that female mice are more susceptible to neurotoxic effects of alcohol withdrawal, including…
Article teaser image
Researchers from Boston University School of Medicine (BUSM) have found that the statin, simvastatin, reduces the incidence of Alzheimer’s disease and Parkinson’s disease by almost 50 percent. This is the first study to suggest that statins might reduce the incidence of Parkinson’s disease. These findings, will be published in the July online open access journal BioMed Central (BMC) Medicine. Alzheimer’s disease or dementia is one of the major public health threats that individuals face as they age. Statins are a class of medications that reduce cholesterol by inhibiting HMG-CoA reductase.…
Article teaser image
A research study carried out by the Universitat Autònoma de Barcelona describes the brain region connected to our declarative memory functions. According to this experiment, part of the prefrontal cortex plays a key role in the social transmission of food preference. This research has helped learn more about how this type of memory functions. In the future, this information could be useful to find new treatment for diseases that affect the memory, such as Alzheimer's disease. Declarative memory is described as a flexible, conscience and associative type of memory (i.e., it is based on…
Article teaser image
Researchers isolated bisdemethoxycurcumin, the active ingredient of curcuminoids – a natural substance found in turmeric root – that may help boost the immune system in clearing amyloid beta, a peptide that forms the plaques found in Alzheimer’s disease. Using blood samples from Alzheimer’s disease patients, researchers found that bisdemethoxycurcumin boosted immune cells called macrophages to clear amyloid beta. In addition, researchers identified the immune genes associated with this activity. The study provides more insight into the role of the immune system in Alzheimer’s disease and…
Article teaser image
Just in time for the weekend, this study from Dutch researcher Ingmar Franken says that while alcohol does not make good things any better it can make bad things a lot less worse. Previously researchers thought that alcohol primarily affected the 'reward' system in the brain. Franken found that was not so. In the case of pleasant experiences alcohol was found to have hardly any influence. The ‘rosy glasses’ that alcohol is said to cause is therefore just a temporary filter for the more 'sober' issues in life. Franken gave two groups of volunteers a different drink. One set of the drinks had…
Article teaser image
A new University of Colorado at Boulder study shows people have the ability to suppress emotional memories with practice, which has implications for those suffering from conditions ranging from post-traumatic stress disorder to depression. The study, which measured brain activity in test subjects who were trained to suppress memories of negative images, indicated two mechanisms in the prefrontal region of the brain were at work, said CU-Boulder doctoral candidate Brendan Depue, lead study author. The study may help clinicians develop new therapies for those unable to suppress emotionally…

Donate

Please donate so science experts can write for the public.

At Science 2.0, scientists are the journalists, with no political bias or editorial control. We can't do it alone so please make a difference.

Donate with PayPal button 
We are a nonprofit science journalism group operating under Section 501(c)(3) of the Internal Revenue Code that's educated over 300 million people.

You can help with a tax-deductible donation today and 100 percent of your gift will go toward our programs, no salaries or offices.