Neuroscience

Article teaser image

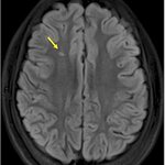
Monthly Transfusions Reduce Silent Strokes In Kids With Sickle Cell Anemia

Silent strokes are a loss of blood flow to parts of the brain. Such strokes do not cause immediate symptoms and typically go undiagnosed, but they cause damage. In kids, they can even lower IQ. Sickle cell anemia affects about 100,000 people in the United States and occurs most commonly in African-Americans. The disease, inherited from both parents, causes some of the patient's red blood cells, normally shaped like a saucer, to take on a crescent or sickle shape. These malformed cells are less effective at their primary job, conveying oxygen from the lungs to the rest of the body. The cells…
Article teaser image

Cough Syrups With Codeine Linked To Brain Deficits

A brain imaging study that looked at chronic users of codeine-containing cough syrups found deficits in specific regions of brain white matter and associates these changes with increased impulsivity in codeine-containing cough syrup users.   Codeine-containing cough syrups have become one of the most popular drugs of abuse in young people around the world and progressive changes in the white matter of users' brains may cause greater impulsivity in users, previous studies have found. The researchers behind a new paper used diffusuion tensor imaging coupled with fractional anisotropy…
Article teaser image

All Our Brains Generate Emotions The Same Way

By Joel N. Shurkin, Inside Science - In an analogy many scientists hate, the human brain is often compared to a small, wet computer, functioning in almost the same way as the electronic kind. Two scientists at Cornell University report the analogy might be closer to the truth than anyone thought. They have found an emotion code. In a paper that took four years to write, neuroscientist Adam Anderson, associate professor of human ecology, and his graduate students found that when different people have a pleasant experience, the neurons, or nerve cells, in the part of the brain called the…
Article teaser image

Bats Bolster Temporal Binding Hypothesis In Brain Science

How people and animals focus on distinct objects within cluttered scenes is a long-standing neuroscience debate and a great deal of research has looked to the way bats "see" with their ears for answers. Bats demonstrate remarkable skill in tracking targets such as bugs through the trees in the dark of night. Brown University neuroscience Professor James Simmons, author of a new review paper, would like to figure out how, and point to the "temporal binding hypothesis" as an explanation. This hypothesis proposes that people and animals focus on objects versus the background when a set of…
Article teaser image

ADHD And Substance Abuse Develop From Same Neurocognitive Deficits

Researchers at the University of Montreal and CHU Sainte-Justine Research Centre have traced the origins of Attention deficit hyperactivity disorder (ADHD), substance abuse and conduct disorder, and found that they develop from the same neurocognitive deficits, which might explain why they often occur together. The findings were established by studying the reward sensitivity and decision making patterns of 1,778 European 14-year-olds of comparable demographic profile. The teens were asked to undertake several tasks while undergoing an MRI and answer personality questionnaires. Clinicians…
Article teaser image

Trigger-Threshold-Target: Understanding Why Autism Potentially Occurs Needs An Overhaul

An analysis of autism research covering genetics, brain imaging, and cognition seeks to modernize our understanding of why autism potentially occurs, develops and results in a diversity of symptoms. The team calls it the “Trigger-Threshold-Target’’ model. Brain plasticity refers to the brain’s ability to respond and remodel itself, and this model is based on the idea that autism is a genetically induced plastic reaction. The trigger is multiple brain plasticity-enhancing genetic mutations that may or may not combine with a lowered genetic threshold for brain plasticity to produce either…
Article teaser image

Study: Testosterone In Men Increases Brain Response To Threats

Testosterone, a steroid hormone, contributes to aggressive behavior in males, but the neural circuits through which testosterone exerts these effects have not been clear. Prior studies found that the administration of a single dose of testosterone influenced brain circuit function. Surprisingly, those studies were conducted exclusively in women. Researchers, led by Dr. Justin Carré, sought to rectify that gender gap by conducting a study of the effects of testosterone on the brain's response to threat cues in healthy men. They focused their attention on brain structures that mediate threat…
Article teaser image

Study Finds Neuroprotective Effects Of Asiaticoside

Asiaticoside is the main saponin constituent of Centella asiatica, a plant long used in the Ayurvedic system of medicine that has become popular for human collagen synthesis applications, like anti-wrinkle treatments. In the central nervous system, Asiaticoside has been found by some studies to attenuate in vitro neuronal damage caused by exposure to β-amyloid. However, any potential neuroprotective properties in glutamate-induced excitotoxicity have not been fully studied.  Researchers from Fourth Military Medical University of Chinese PLA in China are now reporting that pretreatment…
Article teaser image

Functional 3-D Brain-Like Tissue Created!

Bioengineers have created three-dimensional brain-like tissue that functions like and has structural features similar to tissue in the rat brain and that can be kept alive in the lab for more than two months. Currently, scientists grow neurons in petri dishes to study their behavior in a controllable environment. Yet neurons grown in two dimensions are unable to replicate the complex structural organization of brain tissue, which consists of segregated regions of grey and white matter. In the brain, grey matter is comprised primarily of neuron cell bodies, while white matter is made up of…
Article teaser image

This Will Quadruple Your Dementia Risk

A long-term, large-scale population-based study of individuals aged 55 years or older in the general population researchers has found a four-fold increased risk of developing dementia or Alzheimer's disease (AD) if they were diagnosed even with mild cognitive impairment (MCI). Compared to cognitively healthy individuals, other risk factors including older age, positive APOE-ɛ4 status, low total cholesterol levels, and stroke, as well as specific MRI findings were associated with an increased risk of developing MCI.   This was an observational cohort study focusing on the general…