How Gut Microbiota Affect Intestinal Integrity

How Gut Microbiota Affect Intestinal Integrity

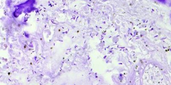
Bacteria in the gut help the body to digest food, and stimulate the immune system. A PhD project at the National Food Institute, Technical University of Denmark, examines whether modulations of the…
R.I.P. Hepatitis C

R.I.P. Hepatitis C

Effective new drugs and screening would make hepatitis C a rare disease by 2036, according to a new computer simulation conducted by The University of Texas MD Anderson Cancer Center and the…