One Dollar On 5.3 TeV

One Dollar On 5.3 TeV

This is just a short post to mention one thing I recently learned from a colleague - the ATLAS experiment also seems to have collected a 5.3 TeV dijet event, as CMS recently did (the way the…
Birdsnap Revisited: Goose and Gull

Birdsnap Revisited: Goose and Gull

In my previous article about Birdsnap, the app was unable to identify my hawk because I did not get a full profile of the bird. Now that it's autumn and Canada geese have begun migrating, I’ve had…
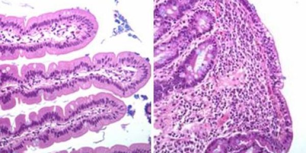
Celiac Disease Diagnosis Gets Simplified

Celiac Disease Diagnosis Gets Simplified

Though gluten sensitivity can be claimed by anyone embracing a popular food fad, celiac disease must be diagnosed, and that requires a tissue sample from the small intestine, which can be extremely…