M6P Deficiency Leaves B Cells Out Of Sorts

M6P Deficiency Leaves B Cells Out Of Sorts

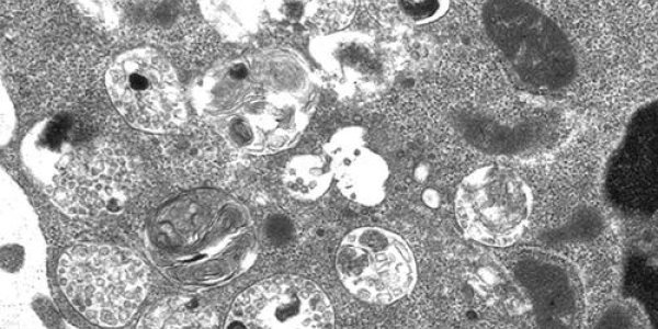
A group of white blood cells known as B cells play a key role in the human immune response but need a protein-targeting signal called mannose 6-phosphate (M6P) in order to proliferate, differentiate…
Asian Peat Fire Impact On Climate Change

Asian Peat Fire Impact On Climate Change

Wildfires send hot flames and smoke high into the air, including black carbon emissions associated with climate change and risk to human health. Unless the United States adapts sensible forest…
More Realistic Physical Activity Targets Needed

More Realistic Physical Activity Targets Needed

Too much sitting has been shown to increase the risk of chronic diseases, particularly diabetes, heart disease, and some types of cancer. Current guidelines suggest adults do 150 minutes of moderate…