How To Fool Enemy Sonar - Mimic Moths

How To Fool Enemy Sonar - Mimic Moths

It's hard to hide from a bat: The camouflage and mimicry techniques that animals use to avoid becoming a meal aren't much use against a predator using echolocation. But a new study shows that moths…
Oats May Be Natural, But So Is Their Toxic Mold

Oats May Be Natural, But So Is Their Toxic Mold

Oats are often touted for lowering bad cholesterol,  improving the immune system, lowering blood pressure and, more recently, being gluten-free, but a new study finds that some oat-based…
Evolving A Bigger Brain With Human DNA

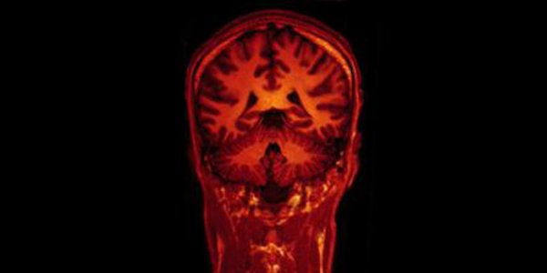
Evolving A Bigger Brain With Human DNA

The size of the human brain expanded dramatically during the course of evolution, imparting us with unique capabilities to use abstract language and do complex math. But how did the human brain get…