Asthma to VCD: Quit copying me!

Asthma to VCD: Quit copying me!

If I were a sneaky disease, working my pathological magic through mimicry, I think I'd be vocal cord dysfunction. What's VCD? I didn't even know it existed until last week, so don't feel embarrassed…
Hemophilia Be Gone! (Thanks RNA Splicing)

Hemophilia Be Gone! (Thanks RNA Splicing)

Science has come one step closer to developing practical methods of gene therapy. Viable gene therapy means treatment for currently untreatable diseases including the vast amount of genetic disorders…
Your Food Allergies Are Making You Fat

Your Food Allergies Are Making You Fat

Food is very complicated. You need food to fuel your body, so you need calories for energy. Your brain needs a constant supply of glucose, so that means sugars, starches and carbohydrates. Your…
Gutsy Germs Succumb To Baby Broccoli

Gutsy Germs Succumb To Baby Broccoli

A small, pilot study in 50 people in Japan suggests that eating two and a half ounces of broccoli sprouts daily for two months may confer some protection against a rampant stomach bug that causes…
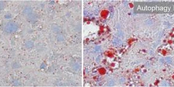
Fight Obesity By Making Fat Cells Eat Themselves

Fight Obesity By Making Fat Cells Eat Themselves

Researchers at Albert Einstein College of Medicine of Yeshiva University say they have discovered a process that controls the amount of fat that cells store for use as a back-up energy source.…